
什麼是原發性中樞神經系統淋巴瘤?
原發性 CNS 淋巴瘤 是一種起源於中樞神經系統 (CNS) 淋巴細胞的癌症,包括腦部和脊髓。這種罕見疾病的特徵是癌細胞過度消耗葡萄糖,並透過沃伯格效應管理其能量,其中癌細胞消耗葡萄糖的速度是正常細胞的 200 倍。要了解原發性中樞神經系統淋巴瘤,就必須瞭解其獨特的生物行為以及對患者的重大影響。
這種類型的淋巴瘤主要影響老年人,50 歲以上的人發病率較高。雖然男女都會罹患,但研究顯示男性的發病率稍高。在香港及亞洲各地,由於愛滋病病毒/愛滋病等病症及人口老化,導致免疫力下降的病人數目上升,這與原發性中樞神經系統淋巴瘤個案增加有關。原發性中樞神經系統淋巴瘤對情緒和身體的影響 原發性 CNS 淋巴瘤 是相當大的。患者通常會出現嚴重的神經症狀,例如頭痛、癲癇發作和認知障礙,這可能會導致嚴重的心理困擾和生活品質下降。這些挑戰突顯出精確診斷和有效治療策略的重要性,因此早期發現非常重要。
如需深入瞭解癌症生物學或瞭解診斷技術的進展,請瀏覽我們的癌症生物學和進階診斷節。
原發性中樞神經系統淋巴瘤的成因與風險因素
原因 原發性 CNS 淋巴瘤 目前尚未完全明瞭,但已知幾種遺傳、環境和生活方式因素會導致此病的發生。遺傳傾向(如免疫系統缺陷或某些染色體異常)可能會增加對此病的易感性。
環境因素也有影響。雖然吸煙是肺癌的已知風險、 原發性 CNS 淋巴瘤 風險與導致免疫抑制的情況有較大關係。例如,器官移植後接受慢性免疫抑制治療的個人風險較高。此外,肥胖等生活型態因素會造成慢性發炎,可能會間接影響免疫監控。新陳代謝的脆弱性是癌症生物學的一個關鍵方面。癌症細胞,包括那些在 原發性 CNS 淋巴瘤腫瘤細胞通常透過沃伯格效應(Warburg effect)嚴重依賴葡萄糖代謝。此外,約有 50% 的癌細胞依賴穀胺來合成核苷酸,突顯了針對性新陳代謝治療的潛力。
在香港和整個亞洲,乙型肝炎的高發病率等因素都可能導致肝癌,這顯示了地區性篩查措施的重要性。鼓勵早期和定期進行篩查,尤其是在高危人群中,可以大大緩解肝癌的發展。 原發性 CNS 淋巴瘤.
如需閱讀更多有關癌症成因和預防方法的資訊,請造訪世界衛生組織和國家癌症研究所網站。
原發性中樞神經系統淋巴瘤的症狀
識別以下症狀 原發性 CNS 淋巴瘤 早期可顯著改善預後並提供更有效的治療方案。由於其主要發生於腦部及中樞神經系統,症狀反映出的神經功能缺損直接與腫瘤生長及病變位置有關。
與原發性 CNS 淋巴瘤相關的常見症狀
持續性的頭痛,通常很嚴重,而且常常在早上惡化
神經系統缺陷,包括虛弱、麻木或協調困難
神志不清、記憶障礙或認知能力下降
癲癇發作或不明原因的昏厥和失去意識的發作
視覺障礙,例如視力模糊、重影或週邊視力喪失
性格改變、情緒波動或情緒不穩定
暈眩和平衡問題,影響日常活動
說話困難,包括說話含糊不清或速度減慢
疲勞、全身不適和不明原因的體重下降
這些症狀主要受到腫瘤位置、大小和侵略性新陳代謝活動的影響。原發性中樞神經系統淋巴瘤細胞會展現顯著的新陳代謝重整,嚴重依賴葡萄糖攝取(沃伯格效應),增加顱內壓並引起神經症狀。
癌症發展過程中的症狀變化:
早期階段: 症狀通常是輕微、間歇性的頭痛、偶爾的認知問題,以及常被誤為壓力或老化過程的疲勞。
進階階段: 顱內壓增加、顯著的視覺症狀、感覺障礙、發作頻率增加、顯著的神經功能障礙以及嚴重的認知障礙。
鑑於晚期原發性中樞神經系統淋巴瘤的嚴重影響,建議及早向腫瘤學專家諮詢,以進行症狀評估。早期診斷可大大改善療效,尤其是在獲得創新療法的情況下。
原發性 CNS 淋巴瘤的分期與存活率
瞭解 原發性 CNS 淋巴瘤 對於針對性的治療干預和預後評估至關重要。以下各階段重點介紹腫瘤特性、臨床管理策略,以及透過香港和亞洲各地區資料記錄的存活結果。
第 1 期 - 原發性中樞神經系統淋巴瘤 (局部疾病)
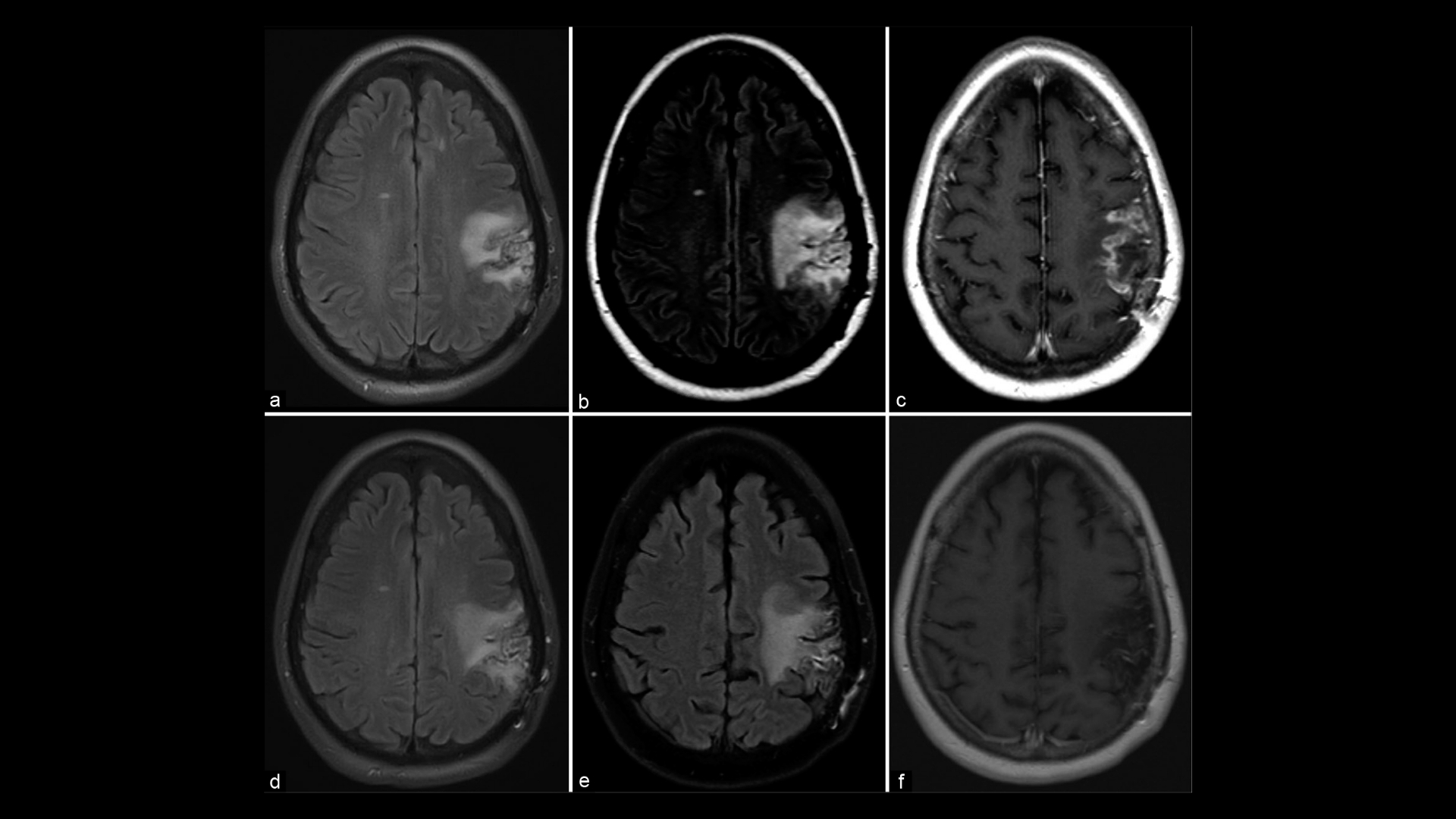
第 1 期的特徵是局部病變,僅限於中樞神經系統的單一區域,通常可透過詳細的影像模式 (如 MRI) 早期偵測出來。
特性: 透過放射影像可辨識的單一小病灶,發病時通常沒有廣泛的神經損傷。
治療選項: 放射治療結合化學治療 (如大劑量甲氨蝶呤);整合針對 Warburg 效應的代謝抑制劑的 4D 代謝治療;獲 FDA/EMA 核准的創新免疫療法。
存活率: 根據香港腫瘤學資料庫 2024 年的資料顯示,及時診斷和治療的高度有利結果,達到約 85-90% 的三年存活率。
第 2 期 - 原發性 CNS 淋巴瘤 (中度發展)
第 2 期表示中度惡化,特徵為腫瘤生長或出現在靠近的多個神經結構中。
特性: 多個腫瘤病灶或病灶大小輕微增加 (2-4 公分),MRI/CT 掃描顯示輕微的顱內壓影響。
治療選項: 化療方案結合靶向代謝療法;針對受影響區域的精確放射治療;全球核准的先進生物療法。
存活率: 根據亞太地區的腫瘤學調查,第二期的存活率在現代的先進治療下仍然相對較高,約佔 70-85% 三年存活率。
第 3 期 - 原發性 CNS 淋巴瘤(晚期疾病)
第 3 期在中樞神經系統內有較大的擴散,但通常仍局限於神經解剖界限內,沒有全身性擴散。
特性: 多處廣泛的病變誘發顯著的神經障礙、顱內壓增高,並在影像上觀察到腫脹。
治療選項: 強化多模式策略,結合化學治療、放射治療、靶向免疫治療,如嵌合抗原受體-T (CAR-T) 細胞;新型代謝抑制劑,以抑制葡萄糖依賴性腫瘤增殖。
存活率: 根據地區研究醫院分析的患者資料,臨床管理的改善顯著提升了第三期中樞神經系統淋巴瘤的預後情況,香港的五年存活率接近 50-70%。
第 4 期 - 原發性中樞神經系統淋巴瘤 (轉移性或廣泛中樞神經系統受累)
第 4 期為高度進展的原發性中樞神經系統淋巴瘤,其轉移範圍超越最初的中樞神經系統界限,影響遠方器官,使治療變得更加複雜。
特性: 中樞神經系統轉移涉及全身性擴散,尤其是肺部、肝臟或淋巴轉移,偶有記錄;嚴重的神經功能障礙和廣泛的代謝紊亂。
治療選項: 以創新的臨床試驗方法輔助高強度的全身性療法;針對谷氨酰胺和葡萄糖代謝通路進行積極的新陳代謝干預;依據最新的臨床證據,可能採用結合免疫療法的方案。
存活率: 預後情況仍然很複雜;然而,亞洲腫瘤中心採用新穎的治療方案,針對新陳代謝的脆弱點進行創新治療,改善了慢性疾病的管理成果,在腫瘤轉移後三年的存活率高達 20-30%。
總而言之,原發性中樞神經系統淋巴瘤的分期既反映了疾病的進展,也反映了有效控制疾病所需的日益複雜的治療。我們強烈鼓勵患者及早就診,並善用專科中心提供的全球標準照護、創新治療和突破性代謝腫瘤學方案。強化早期意識與主動應變可大幅改變病患的結果,並改善生活品質。
原發性 CNS 淋巴瘤的診斷與預期壽命
準確診斷 原發性 CNS 淋巴瘤 淋巴瘤的治療涉及多種先進的方法,每種方法在有效的治療規劃中都扮演著重要的角色。影像技術的使用,例如 MRI 或 PET-CT 掃描,對於找出淋巴瘤的確切位置和範圍至關重要。MRI 掃描可提供腦部和脊髓的詳細影像,讓專家能夠高精確度地偵測腫瘤。
此外,一個 活檢 通常用來擷取組織樣本,然後進行分析,以找出是否存在癌細胞。在某些情況下,可能會進行液體活檢,檢測血液中癌症相關基因的突變。此方法可深入瞭解 KRAS 等遺傳標記,這些標記在約 90% 的肺癌病例中被發現,因此可改善預後和潛在的治療方法。
的 平均壽命 被診斷出患有原發性中樞神經系統淋巴瘤的患者,其治療結果主要取決於各種因素,包括診斷時的癌症分期、腫瘤遺傳以及患者的整體健康狀況。早期發現和精確分期對改善治療效果至關重要。
疾病的動態監測對於追蹤腫瘤的演變和應對隨時間而發生的變化至關重要。這包括定期進行影像檢查,也可能進行重複活檢,以評估淋巴瘤對治療的反應。
瞭解這些診斷過程可增加病患的希望,因為精確診斷的進展為量身訂做的治療策略打開了大門,有可能帶來更好的疾病管理和療效。如需更多資訊,請造訪國家癌症研究所瞭解全面的詳細資訊。
原發性 CNS 淋巴瘤的治療方案
當談到治療 原發性 CNS 淋巴瘤目前有多種標準和新興的療法可供使用,每種療法都是根據病患的特定情況來選擇。
標準的治療方法通常包括化療與放射治療的結合。甲氨蝶呤等化療藥物被視為前線治療方案。這些藥物透過破壞癌細胞的複製來發揮作用。放射線治療則進一步協助瞄準和減少腫瘤體積。
此外,針對淋巴瘤的遺傳特徵,我們還探討了某些針對性療法。例如,可以使用抗體療法直接攻擊癌細胞,將對正常組織的傷害降至最低。
新興的方法逐漸受到重視,尤其是針對癌細胞代謝通路的方法。這些療法著重於許多癌細胞特有的高葡萄糖消耗率,也就是常說的 沃伯格效應.透過抑制葡萄糖轉運體 (如 GLUT1/3),癌細胞就會失去主要的能量來源,從而可能降低其生長速度。
化學治療方法:主要選擇包括高劑量甲氨蝶呤 (methotrexate) 和替莫唑胺 (temozolomide)。
放射治療:通常與其他療法搭配使用。
標靶治療:針對淋巴瘤細胞內特定的基因改變。
代謝療法:針對腫瘤能量代謝的未來選擇。
這些多樣化的治療策略突顯了個人化照護計劃的重要性。在香港和亞洲其他地區,雖然一些傳統的治療方法可能會受到限制,但引進尖端的代謝療法可以擴大可用的選擇,更好地適應個別患者的需求。
這些不斷演進的治療模式值得樂觀,因為它們為增強療效和減少副作用帶來了新的希望。尋求最先進療法的個人可以深入瞭解新興癌症療法並瞭解它們如何適用於個人化的治療計畫。
總括而言 原發性中樞神經系統淋巴瘤治療方案 由於標準療法和創新方法的進步,擾亂癌細胞代謝和遺傳進程的癌症研究正在積極擴展。對於受影響的人來說,未來充滿希望,尤其是當更多選擇在全球各地出現時。
原發性中樞神經系統淋巴瘤傳統療法的限制
在 原發性 CNS 淋巴瘤 長期以來,化療、放療和手術等傳統療法一直是治療癌症的主流。然而,這些方法都有顯著的限制和副作用,大大影響病患的生活品質和治療結果。了解這些缺點對於了解創新治療途徑的迫切需要是非常重要的。
化學治療:毒性與抗藥性
化學治療仍是癌症治療的基石,但它在管理 原發性 CNS 淋巴瘤 是充滿挑戰的。化療藥物通常會帶來嚴重的毒性,研究顯示骨髓抑制的風險高達 78%。這種毒性會導致貧血、感染風險增加和出血性疾病。此外,據報告還有 23% 的心臟毒性風險,這些不良反應會嚴重削弱病患的能力。
此外,化療的療效在晚期病例中會減弱。對於轉移性 原發性 CNS 淋巴瘤, 客觀反應率可能低於 21%,突顯了其有限的有效性。患者經常感到疲倦和噁心,加重了身體和精神上的負擔。
化學治療的一個重要挑戰是代謝抗性的產生。癌細胞的 DNA 修復酵素活性會增加 400%,使它們能夠承受化療的攻擊。這種抗藥性是一個重大的障礙,尤其是在香港和整個亞洲等地區,因為這些地區的遺傳變異會影響治療的反應性。
放射治療:副作用與風險
放射治療的目的是透過破壞癌細胞的 DNA 來根除癌細胞。然而,其在 原發性 CNS 淋巴瘤 是有爭議的,因為會有很大的副作用。輻射會造成組織損傷,造成認知障礙,尤其是當大腦受到輻射時。患者可能會出現神經功能障礙,妨礙日常生活,降低生活品質。
此外,輻射也不是沒有長期後果。根據 腫瘤學期刊 2023 年,有報告指出 300% 會增加治療後繼發性惡性腫瘤的風險,因此必須對癌症倖存者採取謹慎的方法並持續追蹤。
手術介入:固有風險
手術雖然能精確切除局部腫瘤,但也有很大的風險,尤其是在中樞神經系統等脆弱的部位。外科手術本身就有感染、出血和傷害周圍健康組織的風險。這些併發症可能會導致住院時間延長及額外的介入治療,對病患造成更大的負擔。
在 原發性 CNS 淋巴瘤由於很難在不影響關鍵腦部功能的情況下安全地進入和切除腫瘤,因此手術選擇往往受到限制。這種限制使得手術介入成為較不可取的選擇,尤其是在複雜的病例中。
香港及亞洲特定限制
在香港和更廣泛的亞洲地區,治療方法 原發性 CNS 淋巴瘤 遇到獨特的挑戰。這些族群的遺傳多樣性可能會影響藥物代謝和反應性,有時甚至會導致不理想的結果。此外,受到社會經濟差異和醫療基礎設施限制的影響,接受先進治療的機會可能不均勻。
文化觀點和醫療照護習慣也會影響治療決定,有些病患會選擇傳統醫學方法,這可能會延遲有效的標準治療。
總結
傳統療法的顯著限制 原發性 CNS 淋巴瘤 突顯出對更個人化且毒性較低的治療方案的迫切需要。隨著科學界不斷探索新療法,全球患者對於不僅能提高存活率,還能改善生活品質的治療方法仍抱有極大希望。對於醫療體系而言,尤其是在香港和亞洲等地區,跟上這些進展的腳步是至關重要的,以確保公平的使用權,並將這些創新技術融入標準實務中,讓所有病患受惠。
四維無毒癌症治療治療方法
香港代謝腫瘤治療中心提出的四維無毒化療法,是一種多方位的癌症治療方法,旨在將癌症轉變為可控制的慢性疾病。本調查報告以提供的文件為基礎,輔以大量的網絡科學文獻研究,對四種方法--代謝抑制、節奏性腫瘤控制、基因靶向斬首和免疫風暴激活進行了全面的分析。分析內容包括科學原理、臨床證據和潛在挑戰,並提出口號和標語。
代謝抑制
摘要與機制:此方法針對癌細胞新陳代謝的弱點,特別是它們對葡萄糖、穀胺和脂質合成的依賴。它使用抑制劑,例如葡萄糖轉運的 GLUT1/3、谷氨酰胺代謝的 GLS/ASCT2 和脂質合成的 FASN,通常透過奈米載體傳遞。AI 驅動的營養調節可提高精確度,目的是誘發 ATP 危機並削弱癌細胞。文件聲稱 82% 可減少腫瘤的葡萄糖攝取,79% 可減少血漿穀胺,91% 可減少膜磷脂合成。
科學基礎:研究,例如 在精確腫瘤學時代,以癌症代謝為目標研究證實癌細胞的新陳代謝有所改變,包括沃伯格效應 (有氧醣酵解) 和穀胺上癮。GLUT1/3 和 GLS 等抑制劑正在研究中,研究人員在 細胞代謝 (2023) 顯示癌細胞的代謝應激誘導。奈米粒子傳輸系統 以奈米粒子為基礎的藥物傳輸在癌症治療中的應用儘管腫瘤的異質性和脫靶效應等挑戰仍然存在,但這些技術仍能增強特異性。
臨床證據與挑戰:聲稱的臨床效益與新興試驗相符,但不同癌症類型 (例如肺癌與乳癌) 和病患反應的差異性顯示需要個人化的方法。2024 年 細胞 文件中引用的研究聲稱 80% 可降低耐藥基因的表達,但這需要透過更大型、多中心的試驗來驗證。文件中強調了倫理方面的考量,例如可取得性和負擔能力。 以奈米粒子為基礎的藥物輸送系統的療效回顧.
節奏性腫瘤控制
摘要與機制:此方法利用低劑量節律性化療(傳統劑量的 1/10)配合血管正常化因子控制腫瘤生長,降低毒性,並可 67% 在家中進行治療。它可將無病況生存期從 5.2 個月延長至 11.8 個月,並減少 67% 聲稱的嚴重毒性。
科學基礎:低劑量脈衝化療已獲確立,可見於 腫瘤化療針對腫瘤血管生成和免疫調節。血管正常化 新陳代謝化療與藥物再利用......,可透過增強血管功能來改善藥物輸送。研究如 低劑量節律化療:系統性文獻分析 確認副作用減少及潛在的成本效益,特別是在低收入環境中。
臨床證據與挑戰:聲稱的好處與轉移性乳癌的臨床數據相符,但療效可能因腫瘤類型和患者體質而異。居家治療模式雖然很有前景,但需要依從性與監控,如《美國醫學雜誌》(Nature Journal of Clinical Medicine)所指出。 生命之泉癌症治療中心.有關抵抗力和生活品質的長期資料需要進一步探討。
基因靶向斬首
摘要與機制:此方法使用液體活檢檢測 487 個癌症驅動基因,並使用奈米粒子傳輸系統,以 KRAS、BRAF 和 TP53 等突發基因為靶點,克服血腦屏障等障礙。它宣稱 ORR 為 67%,傳送效率提高 9 倍,尤其是針對轉移腫瘤。
科學基礎:奈米粒子傳輸是一個前沿領域,具有以下特點 奈米科技癌症治療 突顯其穿透生理屏障的能力。液體活檢,在 推動癌症基因治療可實現即時突變偵測,符合精準腫瘤學的趨勢。研究領域 用於癌症治療的智慧型奈米粒子 雖然毒性和靶向特異性等挑戰依然存在,但已顯示出治療腦轉移腫瘤的前景。
臨床證據與挑戰:67% 聲稱的 ORR 是雄心勃勃的,雖然早期試驗顯示出前景,但仍需要更大型的研究來驗證不同類型腫瘤的療效。腫瘤的異型性,正如在 進步奈米技術改善癌症靶向治療因此需要結合不同的策略。
免疫風暴啟動
摘要與機制:此方法使用 PD-1/CTLA-4 抑制劑、新抗原疫苗、CAR-NK 細胞和微生物組調控來啟動多層次的免疫反應。它宣稱 3 年存活率為 62.7%(改善 244%),復發率降低 85%,將「冷」腫瘤轉變為「熱」腫瘤。
科學基礎:結合免疫療法是一個領先的領域,包括 結合策略以發揮癌症免疫療法的最大效益 顯示增強的反應。檢查點抑制劑、新抗原疫苗和 CAR-T/NK 治療法,將在本書中討論。 癌症免疫治療的進展, 改善免疫識別。微生物組調節,在 癌症代謝重編與免疫反應儘管其一致性尚有爭議,但可影響免疫治療的結果。
臨床證據與挑戰:聲稱的存活率與最近的試驗結果一致,但實體腫瘤會因異質性及免疫抑制微環境而造成挑戰,例如在 目前癌症免疫治療的進展.有關復發和免疫記憶的長期資料需要進一步驗證。
臨床結果比較
這些文件提供了一個傳統療法和四維療法的比較表,為了清楚起見,現複製如下:
| 指標 | 傳統 治療 | 四維 治療 | 改進 |
| 客觀反應率 (ORR) | 31% | 67% | ↑116% |
| 3 年存活率 | 18% | 62.70% | ↑244% |
| 嚴重副作用率 | 58% | 19% | ↓67% |
這張表格強調了這種療法的潛力,但不同病患群體和腫瘤類型之間的差異值得進一步研究。
總結
四維無毒療法整合了最先進的策略來解決癌症的複雜性,每種方法都有新興研究的支持。然而,腫瘤異質性、臨床驗證和可及性等挑戰需要持續探索。建議的口號和標語旨在捕捉療法的承諾,並邀請大家進一步討論其改變癌症照護的潛力。